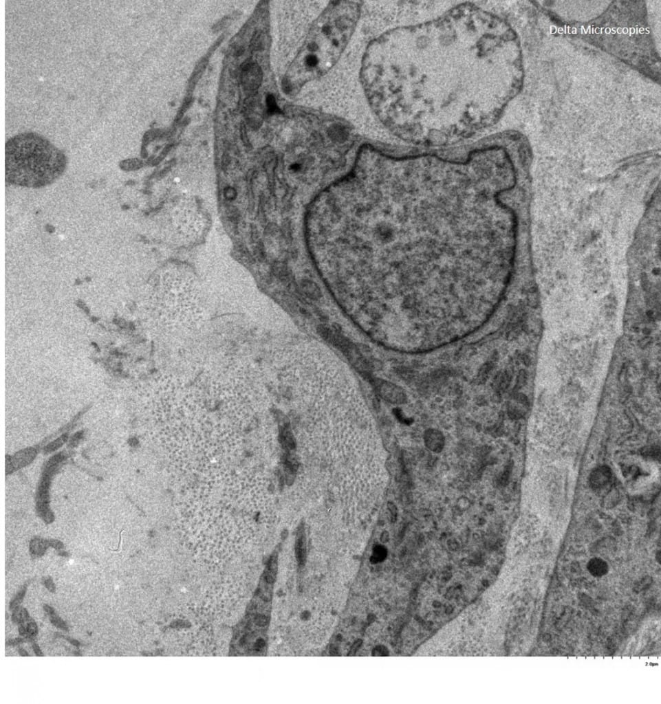
Cells in culture - Uranyless

Sample preparation according to the following protocol:

  • Classic PFA- Glutaraldehyde, Osmium, Epon fixing.
  • Ultrafine section – UranyLess contrast – Lead Citrate.

Photos taken with a Hitachi HT7700 Transmission Electron Microscope by Nacer BENMERADI (R&D – Delta Microscopies – France):

uranyless logo

Contact

22b route de Saint Ybars 31190 

Mauressac France

+(33) 5 61 73 60 14

info@deltamicroscopies.com

Get Connected

Scroll to Top