STAIN77 – EMstain solution
Stain 77
Stain77 is a revolutionary stain designed for electron microscopy, offering a non-toxic alternative with its unique blend of two contrast agents: lithium and tungsten salts.
Stain77 provides outstanding results with minimal toxicity, making it a safer and more efficient choice for researchers. Suitable for various biological samples, it ensures reliable and consistent contrast across a wide range of applications.
One of the standout features of Stain77 is its ability to deliver high-quality contrast while being gentle on the samples.
Key Features
- Non-toxic formulation: Stain77 is lithium- and tungsten-based, posing minimal toxicity risks compared to traditional stains, making it safer for laboratory use.
- Versatile Application: Effective for both positive and negative staining in electron microscopy.
Packaging
- Airless Bottle: 30 ml bottle designed for precise drop application, similar to UranyLess.
- Bulk Option: Available in 100 ml and 200 ml packaging for automated stainers such as Leica or RMC systems.
Stain 77 a better stain
for technical Negative stain
Performance and Compatibility
In cases where UranyLess may not deliver optimal results, Stain77 serves as an ideal alternative to aqueous UranyLess. It provides highly satisfactory results for negative staining techniques and ensures greater reproducibility of your negative stains. If the contrast is too strong, after draining your grid following negative staining, let it float on a drop of distilled water for one minute, then drain and dry before TEM observation. For positive staining on ultrathin sections, Stain77 yields results comparable to UranyLess.
Protocol
- Apply Stain77 for 1 minute on ultrathin sections or during the negative staining of isolated particles.
- Gently drain the stain using filter paper immediately after contact.
- For positive staining techniques on ultrathin sections, post-stain with lead citrate for 30–60 seconds.
- Perform a brief rinse with distilled water to finalize the process.
Tips
Enhanced Contrast:
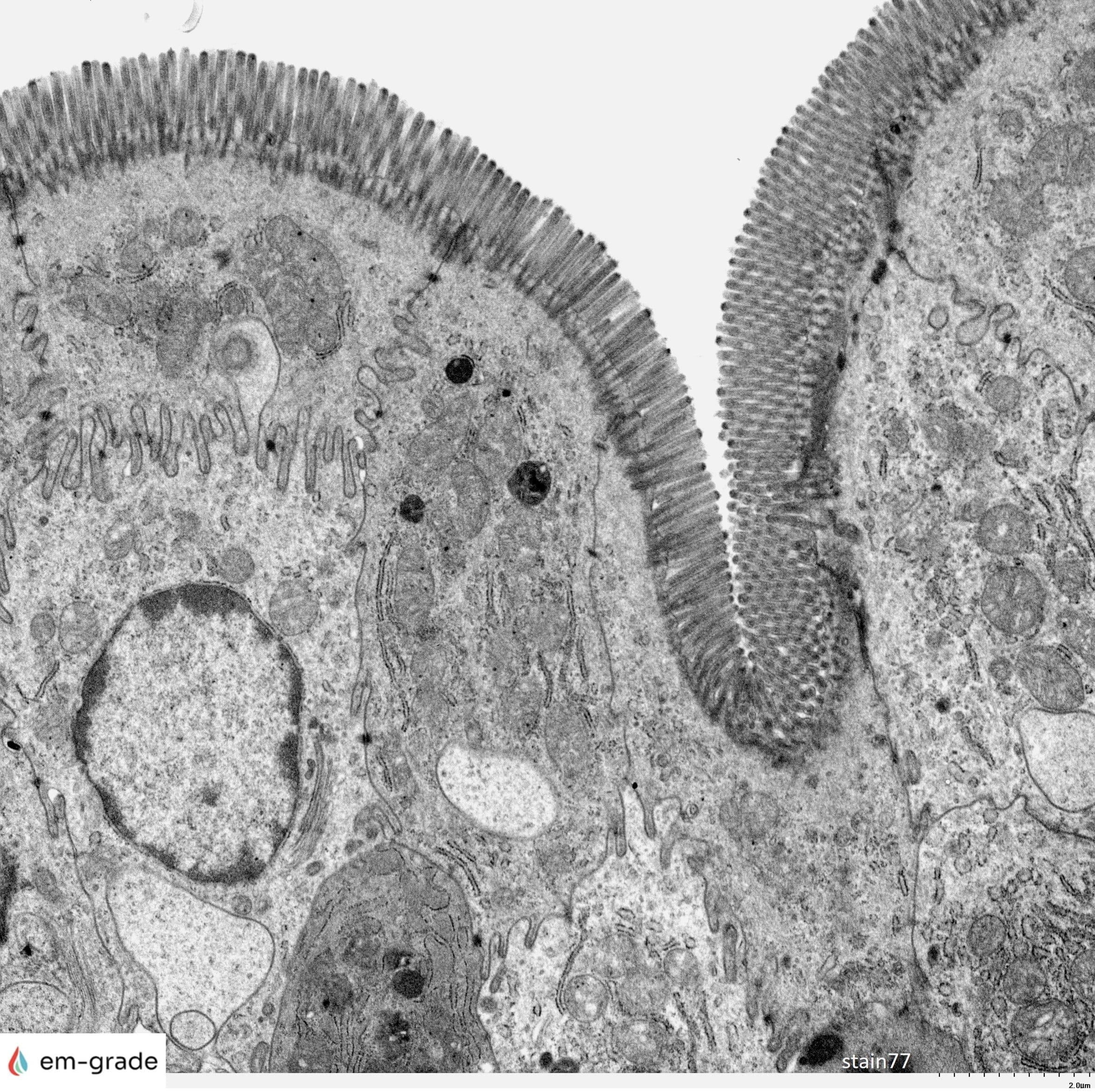
Stain77 provides a subtle yet effective contrast, improving the visualization of cellular organelles.
When combined with lead citrate, it precisely highlights cellular membranes and compartments.Low pH & Stability:
Formulated with a pH close to 7, Stain77 ensures long-term stability.
It can be applied directly on a laboratory bench without the need for specialized equipment.
Navigation
Contact
22b route de Saint Ybars 31190
Mauressac France
+(33) 5 61 73 60 14
info@deltamicroscopies.com










